iTero Digital Scans
Orthodontic technology has come a long way since the days of goopy impressions and headgear. Our iTero scanner allows us to take digital impressions of your bite without the mess.
This wonderful piece of advanced technology captures the structure of the teeth and gums using state-of-the-art optical technology. Our specialists will scan your mouth with a radiation-free laser. In just a few minutes, the scanner will create a 3D impression of your bite, allowing us to establish your ideal treatment schedule. Moreover, the scanner works for Invisalign as well!
Say goodbye to the days of goopy impressions at the orthodontist’s office. At Busciglio Smiles, we use the most up-to-date technology to ensure that your time in treatment, from beginning to end, is comfortable and effective.
State-of-the-Art Orthodontic Technology
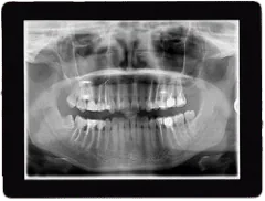
Digital radiography is a type of X-ray imaging where digital X-ray sensors are used instead of traditional photographic film. This technology offers several benefits over conventional methods, making it an invaluable tool in modern dentistry.
One of the primary advantages of digital radiography is the reduced radiation exposure for patients. Digital X-rays use up to 90% less radiation compared to traditional X-rays, making them a safer choice for comprehensive dental imaging.
The images produced by digital radiography are instantly viewable on a computer screen, allowing for immediate analysis and diagnosis. These images can be enhanced and enlarged, providing our team with a high-resolution view of your teeth and surrounding structures. This level of detail aids in accurate diagnosis and effective treatment planning.
Another benefit of digital radiography is its efficiency. The process is quick and comfortable, eliminating the need for film development. This means shorter appointments and more convenience for you.
Digital X-rays are also more environmentally friendly than their traditional counterparts. They eliminate the need for film and film processing chemicals, contributing to a greener planet.
CBCT
The CBCT scanner is a type of X-ray equipment that produces 3D images of your teeth, soft tissues, nerve pathways, and bone in a single scan. This comprehensive imaging allows our team to diagnose and treat dental issues with unprecedented precision.
Unlike traditional dental X-rays, which only provide a two-dimensional view, the CBCT scanner gives a detailed three-dimensional image. This depth of information is particularly useful in planning orthodontic treatments, including the placement of dental implants, evaluation of the jaw and face, cleft palate assessment, diagnosis of dental caries (cavities), endodontic (root canal) diagnosis, and even in the diagnosis and analysis of dental and facial trauma.
The CBCT scanner is quick and painless, making it a comfortable experience for patients. The scanning process is non-invasive and typically takes between 20 to 40 seconds for a complete scan. This means you spend less time in the chair and more time enjoying your day.
Moreover, the radiation exposure from a CBCT scan is significantly less than that of a traditional CT scan, making it a safer choice for detailed dental imaging.
Propel VPro
VPro, brought to you by Propel, is a trailblazing orthodontic device that’s revolutionizing the way we approach teeth alignment. As the only FDA-cleared high-frequency vibration device, it’s been clinically proven to move teeth faster and more comfortably than traditional methods.
The secret behind VPro lies in its ability to increase bone metabolism and circulation. This advanced technology allows for improved aligner seating, meaning patients can progress through their series of aligners up to three times faster than usual. This not only shortens treatment duration, but it also enhances comfort during the process, making the journey toward a perfect smile smoother and more enjoyable.
But the benefits of VPro don’t stop once your teeth are perfectly aligned. This innovative device continues to work its magic during the retention phase. Clinical studies have shown that VPro improves bone quality and accelerates periodontal tissue remodeling. This facilitates accelerated orthodontic retention, ensuring that your newly straightened teeth stay in their ideal positions long after treatment ends.
One of the most impressive aspects of VPro is its convenience. Despite its powerful effects, using this device requires just five minutes per day. It’s an easy addition to your daily routine that can significantly enhance the effectiveness of your orthodontic treatment.




